

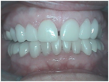
This woman didn’t like the appearance of her worn, darkened front teeth. Creating longer, whiter front teeth with rounded corners provides a more youthful appearance. We were able to gain quite a bit of closure of her diastema (the space between the front teeth), keeping enough space so that it was still her own, unmistakable smile.


This is the same woman as the top photos. Often, we can do “instant orthodontics” by selectively reducing surfaces of the teeth which are crowded out of the dental arch and adding to the opposite side of the teeth.


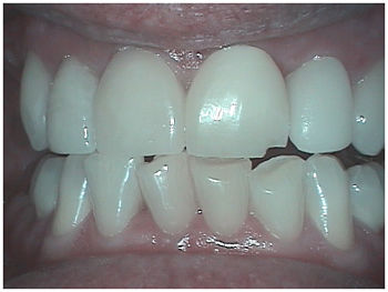
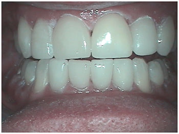
This patient had veneers placed on his upper front teeth. We were able to replace his broken veneer in one visit, custom stained and glazed to match his existing veneers. Placing veneers on his lower front teeth corrected the worn appearance while making the teeth appear straighter. these before and after photos were taken on the same visit.


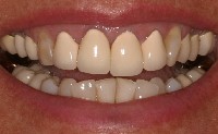
This patient was not happy with spacing and size of her natural teeth. Placed porcelain veneers on six upper anterior teeth to reshape her teeth and closed up all spaces.


This patient’s main concern was the darkness surrounding her crowns on her upper anterior teeth. All porcelain crowns were created to give the patient a more natural look, removing the dark lines around her teeth.


Here we have a simple one visit procedure to replace an amalgam filling with a resin (composite) filling. This patient has large amalgam fillings with very little tooth structure left. Removed all amalgam and designed all porcelain cerec crowns, all in once visit.